

PROCEDURAL
IMAGES
Barrigel Images
View images of Barrigel on MR and CT, as well as procedural images on transrectal ultrasound (TRUS).
TRUS IMAGES
TRUS IMAGES

TRUS image courtesy of Neil F. Mariados, MD
Radiation Oncologist; New York, United States

TRUS image courtesy of Rizwan Nurani, MD
Radiation Oncologist; California, United States

TRUS image courtesy of Prof Michael Chao, MBBS (Hons), FRANZCR, AFRACMA, DMedSc, Radiation Oncologist; Victoria, Australia

TRUS image courtesy of Neil F. Mariados, MD
Radiation Oncologist; New York, United States
CT IMAGES
CT IMAGES

CT image courtesy of Glen Gejerman, MD
Radiation Oncologist; New Jersey, United States

CT image courtesy of Escalarta López Ramírez, MD
Radiation Oncologist; Madrid, Spain

CT image courtesy of Gregory Bell, MD
Interventional Radiologist; Texas, United States

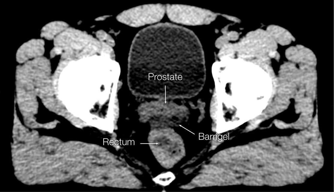
CT image courtesy of Suraj Singh, MD
Radiation Oncologist, Colorado, United States

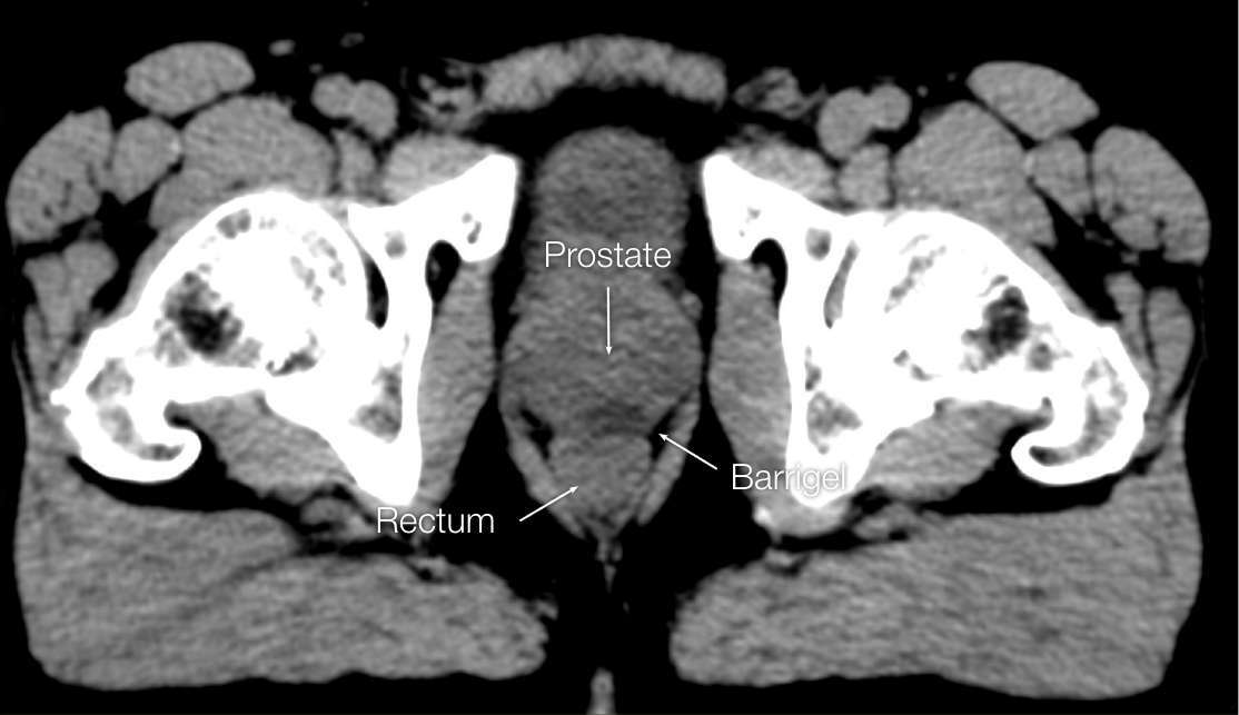
CT image courtesy of Suraj Singh, MD
Radiation Oncologist, Colorado, United States

CT image courtesy of Suraj Singh, MD
Radiation Oncologist, Colorado, United States
OPTIMIZING CT IMAGES
OPTIMIZING CT
IMAGES




Before (left) and after (right) adjusting window & level settings to enhance contrast and texture
CT images sourced from the Barrigel Pivotal Trial
MRI IMAGES
MRI IMAGES

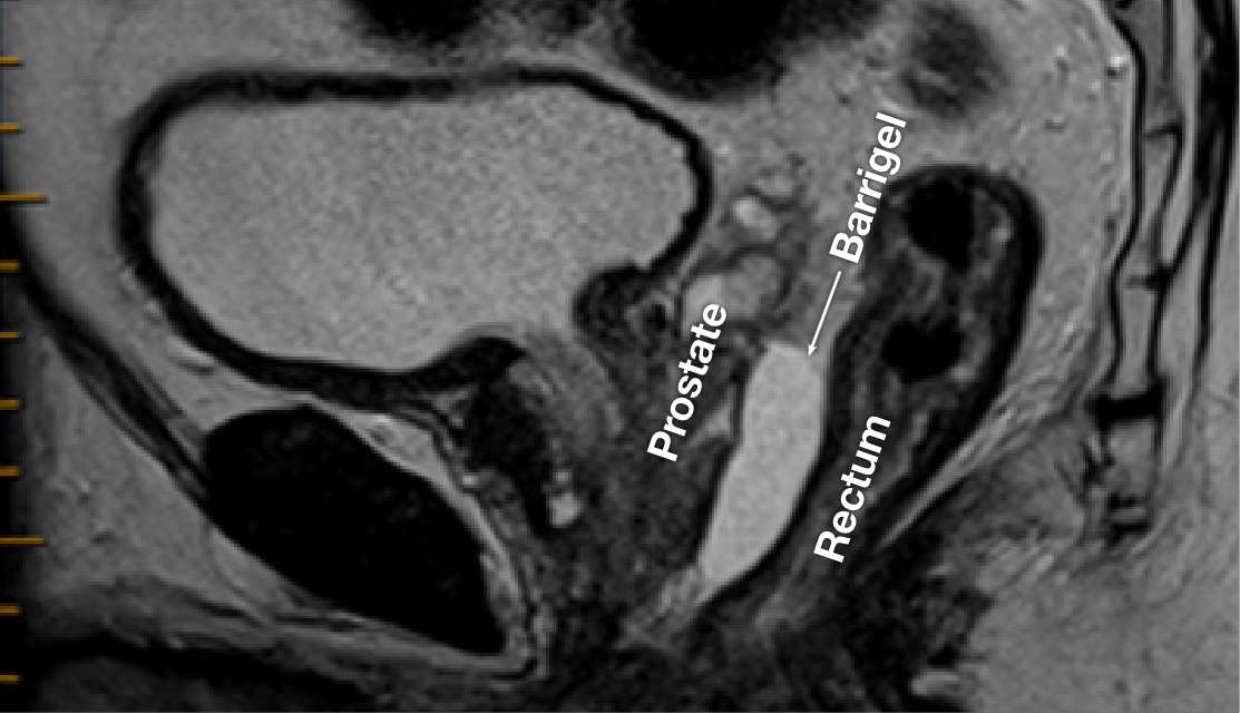
MR image courtesy of Prof Michael Chao, MBBS (Hons), FRANZCR, AFRACMA, DMedSc, Radiation Oncologist; Victoria, Australia

MR image courtesy of Prof Michael Chao, MBBS (Hons), FRANZCR, AFRACMA, DMedSc, Radiation Oncologist; Victoria, Australia

MR image courtesy of Prof Michael Chao, MBBS (Hons), FRANZCR, AFRACMA, DMedSc, Radiation Oncologist; Victoria, Australia